-
副鼻腔炎による頭痛
監修:横浜脳神経内科 丹羽直樹医師(日本神経学会専門医)
投稿日:2025年10月2日|最終更新日:2026年3月10日「鼻水は出ていないのに、おでこや目の奥が重苦しい」
「市販の頭痛薬を飲んでも、痛みがすっきり取れない」そのような症状でお悩みではありませんか?
それはもしかすると、副鼻腔炎(ちくのう症)による頭痛かもしれません。しかし、「副鼻腔炎だと思っていたら、実は片頭痛だった」というケースや、その逆のパターンも非常に多く見受けられます。横浜脳神経内科では、問診だけでなくMRIを用いた精密検査を行うことで、外見からは分からない「隠れた副鼻腔炎」や「頭痛の本当の原因」を診断しています。
副鼻腔炎は風邪をひいた後や、アレルギ—性鼻炎、上顎の虫歯などがきっかけになる事があります。また、飛行機に乗って頭痛が起きる原因にもなります。
この記事では、頭痛専門医の視点から、副鼻腔炎による頭痛の特徴と、間違いやすい片頭痛との見分け方、そして注意すべき危険なサインについて解説します。
副鼻腔炎による頭痛とは?どんな痛み?
副鼻腔は、鼻の周囲にある空洞(前頭洞、篩骨洞、上顎洞、蝶形骨洞)です。
副鼻腔炎による頭痛は、このような副鼻腔に膿が溜まったり、粘膜が腫れたりすることで、周囲の神経を圧迫して起こります。
副鼻腔炎による頭痛の典型的な特徴
- ・おでこ、眉間、頬、目の奥が重苦しく痛む(鈍痛)
- ・下を向いたり、頭を振ったりすると痛みが悪化する
- ・朝起きたときに痛みが強く、午後になると少し楽になることがある
- ・一般的な鎮痛剤が効きにくい場合がある
特に重要なサインは「下を向くと痛い」という点です。これは副鼻腔内に溜まった膿が移動し、内圧が変わるために起こります。
「自分は片頭痛持ちだ」と思っている方の中にも、実は副鼻腔炎が併発していて頭痛が悪化しているケースがあります。自己判断せず、専門医による診断を受けることが重要です。
危険なサイン!ただの副鼻腔炎ではない場合(RCVSなど)
こんな頭痛はすぐに受診を
当院の症例でも経験がありますが、蝶形骨洞炎の炎症刺激(炎症性サイトカイン)がきっかけとなり、脳の血管がけいれんを起こす「可逆性脳血管攣縮症候群(RCVS)」という危険な頭痛を発症することがあります。
もし、「雷に打たれたような急激な激しい頭痛」を感じた場合は、単なる副鼻腔炎ではありません。くも膜下出血やRCVSの可能性があります。
これらはMRI(特に血管を見るMRA)でないと診断できません。「いつもの頭痛と違う」と感じたら、迷わず脳神経内科や頭痛外来を受診してください。症例
診断にはMRI検査が役に立ちます。そこで、以下実際に当院を受診した症例の画像を提示します。
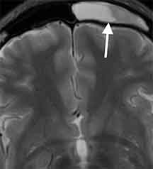
前頭洞炎
43歳女性、左の額の痛みで受診。頭部MRI検査で左前頭洞に炎症性変化を認めました。
このような鼻腔から離れた前頭洞炎の場合には、鼻水や鼻づまりはない事があります。
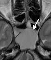
篩骨洞炎
24歳男性、両側の目の奥の痛みで受診。頭部MRI検査で篩骨洞の炎症を認めました。
上顎洞炎
33歳女性、元々左上の奥歯に虫歯があり、歯科で治療後も改善しないため受診。頭部MRI検査で左上顎洞に炎症を認めました。したがって、奥歯の感染がすぐ上の上顎洞へ波及した「歯性上顎洞炎」と考えられました。
蝶形骨洞炎
元々片頭痛のある40歳女性、突然後頭部の激痛が出現し受診。頭部MRI検査で蝶形骨洞炎を認めました。
しかし、この所見だけでは症状の説明が付かず、頭部MRA検査(脳動脈の撮像)を加えました。
後大脳動脈(後頭部から上へ行く血管)に多くの狭窄を認め、可逆性脳血管攣縮症候群と診断しました。この症例では、副鼻腔炎が誘因となり可逆性脳血管攣縮症候群を発症した可能性が考えられました。
耳鼻科に行くべき?頭痛外来(脳神経内科)に行くべき?
「どちらに行けばいいの?」と迷われる方への目安です。
- 明らかに黄色い鼻水が出る、鼻づまりがひどい
→ まずは【耳鼻咽喉科】へ。鼻の処置や吸引が必要です。 - 鼻症状は軽いが頭痛が辛い、ロキソニンが効かない
→ 【頭痛外来(脳神経内科)】へ。MRIで脳に異常がないかを確認し、副鼻腔炎の診断を行います。 - もともと頭痛持ちだが、痛みのパターンが変わった
→ 【頭痛外来】へ。片頭痛と副鼻腔炎の合併などを考慮した治療が必要です。
当院では、MRIによる確定診断を行った上で、抗生物質などの内科的治療を行います。もし手術や専門的な鼻処置が必要と判断した場合は、連携する耳鼻科専門医へスムーズにご紹介しております。
早期受診の重要性と重症例への注意
副鼻腔炎による頭痛を放置すると、慢性化や重篤な合併症のリスクがあります。症状が続く場合や強い痛みがある場合は、早めに医療機関を受診しましょう。
よくある質問(Q&A)
Q1. 副鼻腔炎による頭痛はどんな痛みですか?
A1. 痛みの場所や感じ方は副鼻腔の炎症部位によって異なりますが、額や頬、目の奥などに鈍い痛みや重い痛みを感じることが多いです。頭を下げると痛みが強くなるのも特徴です。
Q2. 副鼻腔炎による頭痛と片頭痛はどう違いますか?
A2. 副鼻腔炎の頭痛は、鼻水や鼻づまり、顔面の圧迫感などの鼻症状を伴う事が多いです。一方、片頭痛は閃輝暗点や吐き気を伴うことが多く、鼻症状はあまり見られません。
Q3. 頭痛薬だけで副鼻腔炎の頭痛は治りますか?
A3. 頭痛薬は痛みを一時的に和らげる効果はありますが、副鼻腔炎自体を治す事はできません。根本的な治療には抗生物質や鼻洗浄など、原因に対する治療が必要です。
Q4. 鼻づまりがなくても副鼻腔炎による頭痛は起こりますか?
A4. はい、鼻づまりなどの自覚症状がなくても副鼻腔炎が進行して頭痛だけが現れる場合もあります。違和感が続く場合は医療機関の受診をお勧めします。
Q5. 副鼻腔炎による頭痛は放置しても大丈夫ですか?
A5. 放置すると慢性化したり、まれに重い合併症を引き起こすことがあります。早めの診断と治療が大切です。
Q6. どの診療科を受診すればよいですか?
A6. 鼻水や鼻づまりが主な場合は耳鼻咽喉科、頭痛が主な場合は脳神経内科でも相談できます。必要に応じて連携しながら診断・治療が行われます。
長引く頭痛は「原因の可視化」を
「たかが鼻詰まり」と放置していると、集中力の低下だけでなく、稀に脳へ影響を及ぼすこともあります。また、副鼻腔炎だと思い込んで市販薬を飲み続け、実際には片頭痛が悪化しているケースも後を絶ちません。原因をはっきりさせたい方は、ぜひ一度ご相談ください。
参考
—————————————————————
本記事は最新の医学情報をもとに2026年3月10日に更新されています。
この記事は横浜脳神経内科医師が書いています。

-
医師紹介ページはこちら
【資格】
日本神経学会神経内科専門医・指導医
日本頭痛学会専門医・指導医
日本脳卒中学会専門医
日本内科学会認定内科医
身体障害者福祉法指定医
(肢体不自由、平衡機能障害、音声機能・言語機能障害、そしゃく機能障害、膀胱直腸機能障害)
【略歴】
1988年3月 千葉大学医学部卒業
1989年10月 松戸市立病院 救急部
1994年10月 七沢リハビリテーション病院
2002年4月 沼津市立病院 神経内科
2002年11月 長池脳神経内科開設
2012年11月 横浜脳神経内科開設
最新の投稿
- 2026年3月10日可逆性脳血管攣縮症候群筋トレ頭痛
- 2026年3月10日めまい頭痛とめまい
- 2026年3月10日片頭痛頭を下げると痛い頭痛
- 2026年3月10日1週間以上頭痛が1週間以上続く原因








