頭痛の疾患・症例
-
雷鳴頭痛
雷鳴頭痛とは、突然雷が鳴ったような激しい頭痛に襲われるという、急に激しい頭痛が出現する状態を指します。
国際頭痛分類第3版では一次性雷鳴頭痛と分類されています。まず、くも膜下出血などの二次性頭痛を除外診断する必要があります。

雷鳴頭痛の症例1
40代の男性です。朝トイレで排便時に、突然後頭部の激しい痛みに襲われました。また、今までにないような、頭が割れるような強烈な痛みだったとの事です。
その後も軽い頭痛は続いていましたが、3日目の晩、やはり排便時に後頭部の激しい頭痛が出現し、頭全体に痛みが拡がる感じでした。
4日目に横浜脳神経内科を受診しました。
MRI検査で脳の血管を見たところ、
脳底動脈という血管の一部がくびれて細くなっており、その下の部分では、血管がソーセージのような形に膨らんでいます。そこで、この所見から可逆性脳血管攣縮症候群(RCVS)と診断しました。
雷鳴頭痛と言われる頭痛の原因として、
などの病気が考えられますが、当院の経験では、雷鳴頭痛のほとんどが可逆性脳血管攣縮症候群(RCVS)であり、Ducrosらの報告1)とも一致しています。
Chenらのレビュー2)によると、RCVSを発症するきっかけとして、
- 入浴やシャワー(入浴関連頭痛)
- 水泳やスキューバダイビング(潜水時頭痛)
- 排便
- 興奮
- 性交(性行為に伴う一次性頭痛)
- 大声
- 咳やくしゃみ(一次性咳嗽性頭痛)
- 精神的ストレス
- セロトニン作動薬などの薬物
- 更年期など女性ホルモンの変化
などが挙げられています。
雷鳴頭痛の症例2
40代の女性で、30歳の頃からたびたび頭痛がありました。
家事をしていたところ、急に目の奥から後頭部に突き抜けるような激しい頭痛に襲われました。そこで、鎮痛剤を何回か飲んだのですが全く効きませんでした。その後3日間頭痛が続いており、横浜脳神経内科を受診しました。
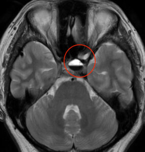
MRI検査をしたところ、

目の奥にある下垂体という部分に異常信号を認めました。
さらに、MRA検査で脳血管を見てみました。

下垂体部分に血流を示す信号を認め、下垂体卒中3)と診断しました。
下垂体は様々なホルモンを分泌する場所です。したがって、詳しい内分泌検査が必要のため、専門医のいる病院へ紹介しました。
文献および参考
- Anne Ducros , Valérie Wolff: The Typical Thunderclap Headache of Reversible Cerebral Vasoconstriction Syndrome and its Various Triggers. Headache 2016: 56: 657-673
- Shih-Pin Chen, Jong-Ling Fuh, Shuu-Jiun Wang: Reversible cerebral vasoconstriction syndrome: current and feature perspectives. Expert rev. Neurothe. 2011: 11: 1265-1276
- 下垂体卒中|一般の皆様へ|日本内分泌学会
- 一次性雷鳴頭痛はどのように診断し治療するか|日本頭痛学会
この記事は横浜脳神経内科医師が書いています。

-
【資格】
日本神経学会神経内科専門医・指導医
日本頭痛学会専門医・指導医
日本脳卒中学会専門医
日本内科学会認定内科医
身体障害者福祉法指定医
(肢体不自由、平衡機能障害、音声機能・言語機能障害、そしゃく機能障害、膀胱直腸機能障害)
【略歴】
1988年3月 千葉大学医学部卒業
1989年10月 松戸市立病院 救急部
1994年10月 七沢リハビリテーション病院
2002年4月 沼津市立病院 神経内科
2002年11月 長池脳神経内科開設
2012年11月 横浜脳神経内科開設





