頭痛の原因を探るための強力な診察道具となるのがMRIです。医師と検査技師との連携によって、より正確な画像を描き出す事を目指しています。
1.MRI検査
1.1 MRI検査について
頭痛外来の必須診断ツール「MRI」とは、(Magnetic Resonance Imaging:磁気共鳴画像)の略です。このような機械で、トンネルに頭が入ります。約15分横になってもらい、超伝導電磁石を使って、体内の状態を描き出す検査です。
頭痛外来では、まず危険な頭痛でないかを見極める必要があります。MRIは頭痛の原因を探るための強力な診察道具となります。
MRIはコンピューターなので、処理能力の差があります。画質の差はテスラ(T)という磁場強度の大きさで決まります。
現在国内で稼働している機種には0.2Tから3.0Tまであり、一般に数字が大きいほど高画質となります。
最も危険な頭痛と言われるくも膜下出血は、脳動脈瘤という血管のコブが破裂する事が原因です。まだ破裂する前の脳動脈瘤を見つける事で手術を行い、くも膜下出血を未然に防ぐ事が可能となります。小さな脳動脈瘤の場合は、手術は行わず、慎重に経過をみていく事で安心につながります。
くも膜下出血と紛らわしい突発頭痛として、椎骨動脈解離や可逆性脳血管攣縮症候群(RCVS)などがありますが、これらは血管の微妙な状態を判断するので、1.5T以上の高磁場機種でなければほぼ不可能とされています。
また同じ機種であっても、それを扱う技師のチューニング技術も影響してきます。

1.2 医師と検査技師との連携
MRIは、撮像方法を様々に設定することができます。
一般的に、長く撮像時間をかければ、より精細な画像を得る事ができますが、患者さんの負担を減らすためには検査時間を短縮する必要が出てきます。
当院では、画質と検査時間とのバランスを考え、最適な画像が得られる条件に設定しています。
当院では、問診の内容を踏まえて、一人ひとりの症状にあった撮像方法を選択しています。
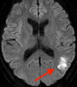
たとえば、脳の血管がつまる脳梗塞は、発症してすぐにはCTで写りません。MRIでも「拡散強調画像」という検査法を撮らなければ写らない時期があります。脳梗塞を疑い、MRIで拡散強調画像を撮って初めて、発症したばかりの脳梗塞を発見することができます。

1.3 撮像のチューニング
問診の後は、医師からMRI検査技師に撮像方法を伝えます。
また、技師はどんな画像が必要かを確認しながら検査を行っています。
MRIは、高周波磁場を当てて体内の水素原子に共鳴現象を起こさせ、反応する信号をコンピューターでとらえて画像化するものです。同じ機種を使っていても、パラメーターの設定によって画像や画質が変わります。どう組み合わせ、どんな画像を得るかは、技師の技術にかかっています。
気になるところがあれば技師の判断で撮像します。医師は近くの診察室にいるので、必要なときは技師から声を掛け、すぐに相談、確認することもできます。こうした連携で検査の精度を高めているのです。
2.脳血管と脳血流をとらえる検査
2.1 MRA(MR angiography)
1.1で示したように、1.5T以上の高磁場MRIではMRA検査で脳血管を描き出す精度が高いので、末梢動脈(末端の細い血管)の変化をとらえやすくなります。
可逆性脳血管攣縮症候群(RCVS)という、脳血管の変化を伴う疾患があります。雷鳴頭痛といわれる急な頭痛で始まり、断続的に激しい痛みを繰り返す疾患です。MRA検査で血管攣縮(血管が縮む現象)を見つける事で診断が付きます。この血管攣縮の場所は、血管の先端部から始まり次第に中心部へ移動するとされているため、初期段階では先端部の細い血管の変化が見えにくい場合があります。
可逆性脳血管攣縮症候群の症例
このように、末梢動脈に焦点を当てた撮像チューニングを行う事で、発症早期の可逆性脳血管攣縮症候群(RCVS)が診断できます。

2.2 ASL法とT1BB法
ASL(arterial spin labeling)法とは、脳の血流状態を評価する方法で、図のように描かれます。1) 2)
赤い部分が血流の多い場所を表します。
従来、脳血流の評価というと、放射線核種を用いる脳血流シンチグラフィー(SPECTやPETなど)や、造影剤を用いる検査でしたが、放射線の体内被曝や造影剤による身体的負荷の問題があり、大がかりな設備が必要でした。
MRI装置の高性能化、高磁場強度(3.0T)の装置の登場により、放射線被曝や侵襲のない検査が可能となりました。

T1BB(T1 black blood)法とは、血管内にできた不安定でくずれやすい血栓(血液の固まり)を描き出す技術です。
このように、血管の壁に沿って白く見える部分が不安定な血栓を表しています。すでに古くなって固まった血栓は写らないので、新たに生じた血栓が分かります3) 4) 5) 。

首筋から後頭部の痛み
もやもや病やMRIの撮像方法は進歩し続けており、当院では新たな知識と技術を取り入れて診断力のアップデートができるよう努めています。
3.重心動揺検査
めまいは様々な原因で生じます。回転するめまいやフワフワするめまい、立ちくらみや乗り物酔いなども、めまいの一種と言えるでしょう。脳の病気以外にも、耳の病気や循環器系の病気で生じる事もあります。重心動揺検査とは、めまいがどういう性質のものかを判断するものです。
重心動揺検査では、台の上に乗っていただき、特殊なセンサーで体の揺れ方を分析します。
約3-4分という短時間で脳の病気が原因か、それ以外の原因かを判断する目安となります。

片頭痛でもめまいを生じる場合があります。
めまいの診断以外にも、パーキンソン病などふらつきを起こす病気の治療効果を判断する目的でも用います。
文献
1) 藤原 康博, 木村 浩彦.Arterial spin labelingによるMR血流イメージング. 医用画像情報学会雑誌 2015;32(4):xxxvii-xli.
2) 木村 浩彦. MR非造影3D ASL Perfusion ~基礎から臨床応用まで~. 第34回日本脳神経CI学会総会
3) Naoaki Yamada, Masahiro Higashi, Kazuyuki Nagatsuka, Koji Iihara, Chikao Yutani, Hatsue Ishibashi-Ueda. 3TMRIによる頭蓋内主幹動脈狭窄症の血管壁描出能に関する検討. 脳循環代謝(25). 2014 37-41
5) Kenichi Nakagawa, Masanori Kinosada, Takashi Tabuchi,Noriyoshi Morimoto, Sachi Fukushima, Takashi Ogasahara, Masayuki Kumashiro. 日本診療放射線技師会誌. 2019(66) 353-357.
(文責:理事長 丹羽 直樹)
