MRI検査のご案内
当院では、今特に症状はないが脳卒中が心配という方のために、自費MRI検査を行っています。
検査をご希望の方は、予約ページまたはお電話でご予約ください。
脳卒中は予防できる疾患です
「あの元気だった主人が倒れるなんて…」脳卒中になった方のご家族から、こんな話をよく聞きます。これは決して特別な話ではありません。脳梗塞、脳出血、くも膜下出血などの『脳卒中』は、一見健康に見える方にも、何の前ぶれもなく突然起こります。
脳卒中は、歩けなくなったり、言葉が出なくなったり、時には命を失う事もある危険な病気です。
ご本人だけでなく、ご家族にも、経済面や介護の面で多大な負担が掛かってしまい、患者さんとその家族の人生を一変させてしまいます。また、脳卒中は、いったん発病してしまうと何らかの後遺症が一生残ってしまう可能性が高いのです。

次のような方は、脳卒中を起こす可能性を気にしなくてはなりません。
- 中・高年齢の方。
- 高血圧、糖尿病、脂質異常、不整脈がある。
- 家族・親族に脳卒中の方がいる。
- 喫煙、飲酒などの生活習慣。
- 過労やストレスを抱えている方。
- 肥満体型の方。
もし、脳卒中になってしまったら、残念ながら現在の医療では完全に治す事はできません。しかし、脳卒中は発病する前に予測して予防する事ができます。たとえば、くも膜下出血は脳内の動脈瘤が破裂して起こる病気ですが、MRI検査で破裂する前の動脈瘤を発見する事が可能です。だからこそ、健康だと思っている今、MRI検査で予防につなげる事が大切です。
未破裂脳動脈瘤

動脈瘤があるだけでは無症状です。症状が出てからでは遅いので、大きい場合には手術を行います。
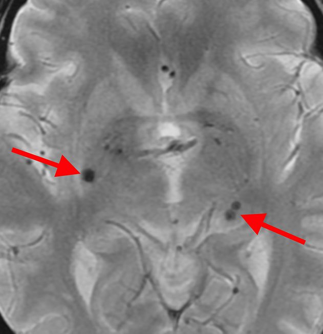
微小脳梗塞

微小脳出血

これらの状態はいずれも無症状です。悪化した場合、後遺症が残る可能性もあるため、高血圧症や糖尿病のコントロールが必要です。
正確な診断のために
検査設備
脳の検査において、MRIは不可欠な検査機器です。MRIは、磁場を使って脳の内部や脳血管を描き出します。
一方、CTは脳ドックには向きません。CT検査では、造影剤という薬を血管内に注射しなければ脳血管を描き出す事はできないため、脳卒中の原因となる脳血管の変化(脳動脈硬化や脳動脈瘤)は分かりません。
MRIの性能は「テスラ」という単位で数値化されていて、この数値が大きいほど画像の精細度と処理速度が高くなり、検査時間も短縮できます。
横浜脳神経内科では高磁場機種を使用しています。
専門医のダブルチェック
日本脳ドック学会のガイドラインでは、「脳神経、運動系、反射、感覚系、協調運動、起立・歩行を含む神経学的所見を確認」するよう推奨しています。このガイドラインに従うなら、脳ドックの担当は脳神経内科医になります。当院では、日本神経学会専門医・指導医かつ日本脳卒中学会専門医である医師2名でダブルチェックを行い、見逃しがないよう努めています。
詳しい検査内容と流れ
自費MRI検査
自費MRI検査の所要時間は約30分、検査料金は¥27,500(消費税込み)です。
当院は完全予約制となっており、長時間お待ちいただくことはありません。
検査当日は、次のような流れで検査を行います。
- 1.予約
- 当院では、完全予約制をとっています。必ず事前に予約をお願いいたします。
インターネット、または電話で、予約をしていただけます。
- 2.MRI検査
- 次に、MRIという機械で脳内の撮影を行います。MRIは磁場を使って、体の中から返ってくる信号をコンピューターで分析し、画像を描き出します。同時にMRAと呼ばれる、血流の信号をとらえて血管を描き出す検査も行います。
日本脳ドック学会のガイドラインでは、脳内の撮影について以下のような記載があり、当院では全てに対応しております。
※以下、脳ドックガイドラインより引用
「T1強調画像、T2強調画像、FLAIR画像を必須、可能な限りT2*(スター)強調画像も撮影」
「MRAでは頸動脈の撮影も推奨」
- 3.報告書送付
- 検査後に専門医によるダブルチェックを行い、後日結果報告書をご自宅へ郵送いたします。
何か異常があった場合や、ご不明点があった場合は、後日、通常の診療をご予約いただき、保険診療にてご説明させていただきます。
